新闻中心
News and information

高效复合微生物技术助力山东东营石化废水达标排放

发布时间:2025-09-16 浏览次数:29 发布者:本站

近日,我公司成功完成山东东营某石化企业工业废水生化段调试项目,通过引入高效复合微生物菌剂、生物解毒剂及精准碳源投加策略,有效解决了该厂废水处理中氨氮高、COD可生化性差等难题,最终实现废水稳定达标排放。

1.jpg

图1、2. 现场好氧池情况

该石化废水成分复杂,氨氮浓度高达200-300mg/L,COD虽部分可降解,但可生化性较差,传统生化处理工艺难以稳定达标。项目初期,现场面临污泥老化、二沉池浮泥、系统碳源不足等多重挑战,出水氨氮及COD波动较大,一度超出设计限值。

面对严峻挑战,我公司技术团队深入现场,通过系统分析与多次试验,制定并实施了一套以高效复合微生物菌剂为核心的综合处理方案。该菌剂具有耐毒性强、降解效率高、适应性广等特点,配合生物解毒剂有效缓解了废水中有毒物质对微生物的抑制,显著提升了生化系统的稳定性。

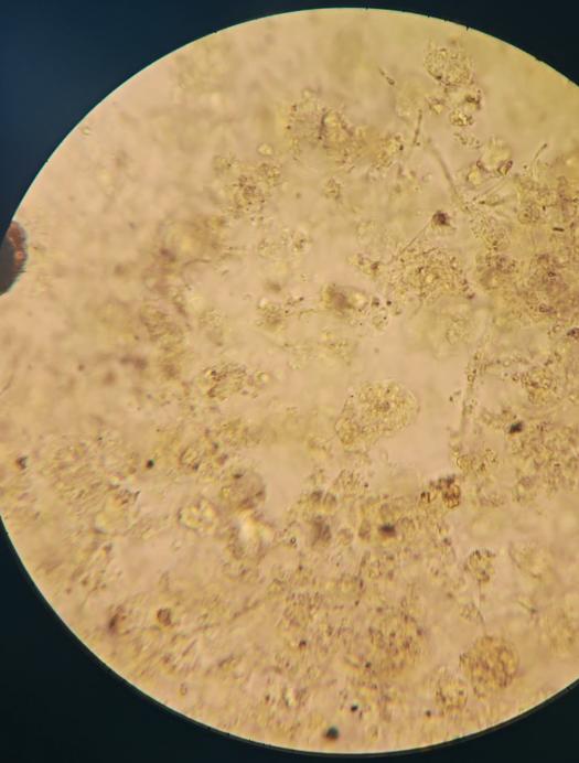
图片1.jpg

图3. 活性污泥镜检

同时,团队通过精准投加外源碳源,弥补了废水中碳源不足的问题,进一步优化了C/N比,促进了微生物硝化/反硝化过程,有效降低了氨氮浓度。经过系统调试与工艺优化,好氧池氨氮去除效率显著提升,COD也逐渐稳定在200mg/L以下,最终满足排放标准。

此次项目不仅体现了我在高难度工业废水处理领域的技术实力,也彰显了微生物增强技术在复杂水质条件下的广泛应用前景。未来,我公司将继续深耕微生物环保技术,为更多工业客户提供高效、经济、稳定的废水处理解决方案。


相关推荐

商桥咨询

13870632383